CT検査について

CT検査はX線を使用し体の断面像を撮影する検査です。
寝台の上に仰向けに寝た状態で、必要に応じて息止めをしていただいて撮影をします。
当クリニックには最新の320列CTが導入されており短時間で広範囲の撮影ができるため、1回の検査で心臓から足先の血管までの撮影も可能です。
また、AI(人工知能)の技術も搭載されており、従来よりも少ない被曝でより鮮明な画像を得ることができます。
検査時間は5分~20分程度です。

・着替えについて
撮影範囲の衣服に金属製のボタンやチャックなどがついている場合、検査の妨げになるので検査着に着替えてもらいます。
入れ歯やネックレスなどの金属も外していただきます。

・造影剤について
普通の画像ではわからない血管や臓器の病変についてより詳しい情報を得るために造影剤を使用することがあります。
検査が始まる前に腕の静脈に造影剤をいれるための点滴をし、撮影直前にその点滴より造影剤を体内に注入します。
まれに吐き気やかゆみなどの副作用が出る方がいます。
以前に造影剤を使用して副作用が出た方は事前にお知らせください。

・検査後について
検査後は普段通りに生活できます。造影剤は尿と一緒に排泄されるため使用した方は水分を多めにとるように心がけてください。


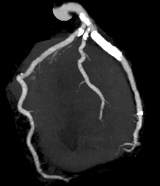
【冠動脈CT】
心臓を栄養する血管である冠動脈の走行や詰まっているところ、狭くなっているところがないかを調べる検査です。
主に狭心症や心筋梗塞などの診断や以前に狭心症の治療をした方の経過観察、また治療方針を決めるのに有用です。
心電図をとりながら造影剤を注入して息止めをして撮影をします。
最新の320列CTが導入されているため1回転(0.275秒)1心拍で心臓全体の撮影が可能です。
そのため息止めの時間が短く被曝も少ないですが、ブレが少なく精度の高い検査ができます。
撮影後には3D画像を作成し、色々な角度から観察することができるようになります。



【下肢動脈CT】
足を栄養する血管である下肢動脈の走行や詰まっているところ、狭くなっているところがないかを調べる検査です。
主に下肢閉塞性動脈硬化症の診断や治療方針を決めるのに有用です。
寝台に仰向けで寝た状態で足を固定して造影剤を注入して撮影をします。